Signalment
Canine, 14 wks, MN, Chow Chow, "Moe"
History
Two week treatment at animal shelter for suspected URI, on systemic antibiotics (doxycycline, enrofloxacin). Puppy was coughing, depressed, had copious yellow nasal discharge and was not eating.
Diagnostics and Exam Findings
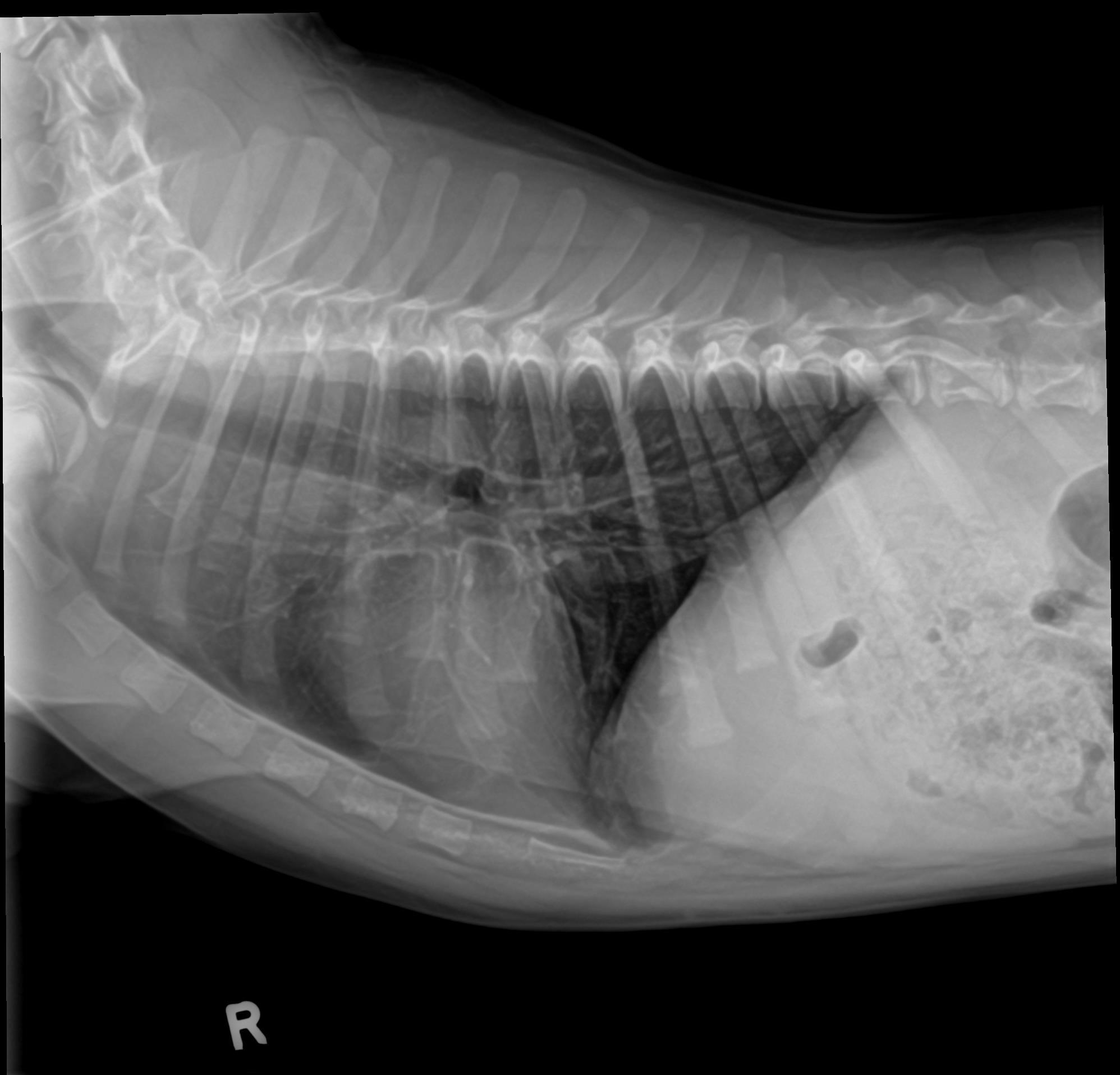
Physical exam findings and radiographs consistent with pneumonia.
Laser Treatment Details
Thoracic Disorders protocol (fluence of 6.5J/cm2) applied to thorax and at thoracic inlet using the large contact treatment head.
Frequency of Treatment
Twice daily for one week.
Other Treatments
Continued enrofloxacin, started amikacin, received nebulization.
Comments
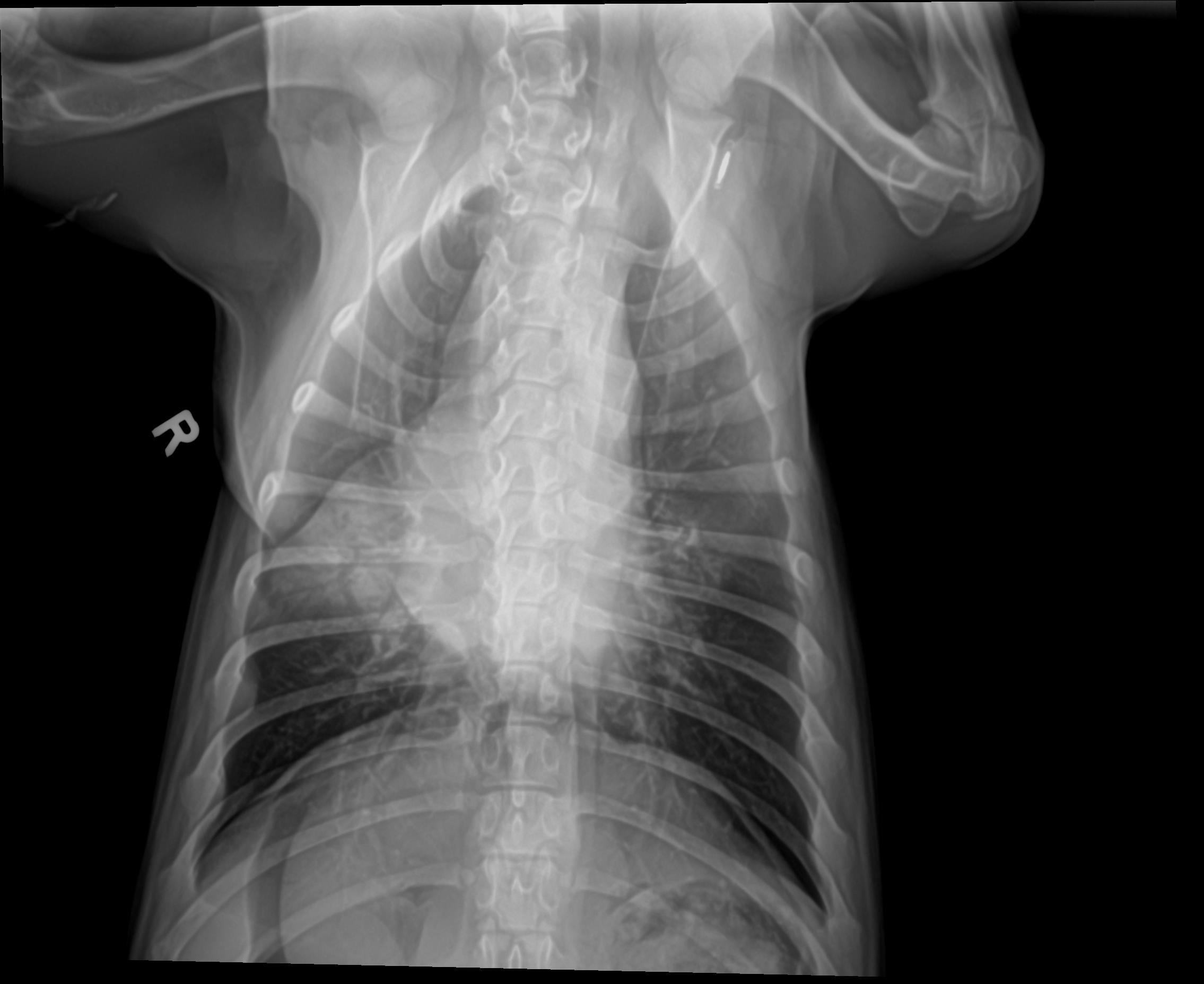
Patient’s appetite and energy returned two days after starting additional therapy. Repeat radiographs at post-five days showed significant improvement as well.
Outcome
Patient recovered completely.
In this case study, a 14-week-old Chow Chow puppy with pneumonia named Moe showed rapid improvement after receiving laser therapy alongside antibiotics and nebulization. Within two days, his appetite and energy returned. Follow-up radiographs showed significant improvement after five days, and the patient recovered completely.
"Moe" the Chow Chow

Radiographs Before Treatments

Radiographs After Five Days of Treatment


